Title “红二代”美国出书 揭秘周永康、薄熙来政变始末
薄熙来(左)和周永康受审场面。(新唐人合成) 【新唐人北京时间2022年07月05日讯】最近,一本由中共“红二代”出版的英文书籍《China Duel》(中国对决),在美国出版,该书披露了周永康、薄熙来的政变始末。 周永康政变败露 胡锦涛调兵包围 据美国之音报导,该书作者向阳是一名红二代,他的父辈在政界、军界身居高位,他的家族与薄熙来家族交情匪浅,他和父亲甚至参与了周永康等人密谋的“宫廷政变”。...
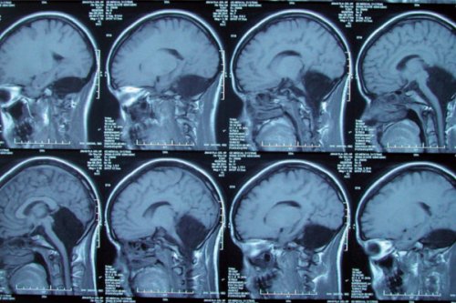
山东一名24岁女子因为严重晕眩、恶心,到医院求诊,没想到经过检查,医生竟然发现该名女子天生就有“脑洞”,没有小脑!
根据《New Scientist》报导,女子就医后,向医生说明走路时常不稳跌倒,母亲也表示她小时候到6岁时都不太会说话,到7岁才会走路。医生安排电脑断层扫描,报告出来后,发现原本应该是小脑的地方竟然是空的,让医生大吃一惊。

小脑的位置在头骨后方,主要作用是控制运动和平衡,也被认为与说话能力有关,所占脑部的总体积仅10%左右,却含有50%的神经元。小脑出问题可能导致严重的精神障碍、运动障碍、癫痫,或造成脑脊液积聚在这一空洞的区域。然而,这名女子天生有脑洞,却仅有轻度的语言问题,发音稍微含糊。
这名女子的初步检查结果,发表在最新一期的《脑科》(the journal Brain)。通常,世界上这类病患很早就会死亡,在尸检才发现问题,但她却活到24岁了,生活大部分的时间都很好。医界好奇,难道是她的大脑皮质取代了小脑的功能?
来源:自由时报
© Copyright 2019 我爱中华 中华复兴 All Rights Reserved.
Comments are closed.